📅 10 – 11 DE DICIEMBRE 2026 – INSCRIPCIONES ABIERTAS
✓ 2 DÍAS DE TEORIA – 1 PRÁCTICA
Descubre las técnicas de manejo de tejidos duros y blandos más novedosas, combinando esta carga teórica con contenido práctico y cirugía demostrativa.
En la odontología actual, es cada vez más frecuente encontrarnos ante situaciones de piezas dentales con déficits de los tejidos duros y blandos.
Esta situación, unida al aumento de exigencia y demanda de tratamientos estéticos por parte de nuestros pacientes, nos hace ser conscientes de la importancia en el conocimiento y aplicación de técnicas quirúrgicas avanzadas a dos niveles:
- A nivel de los tejidos óseos para solucionar situaciones comprometidas, con la finalidad de colocar implantes en una posición tridimensional óptima de manera segura.
- A nivel de los tejidos blandos, para aportar estabilidad y estética en nuestros tratamientos, con resultados sostenibles en el futuro.
Conviértete en un experto.
Te ofrecemos un curso muy concreto en especialización en implantología inmediata, reconstrucción del alveolo post, exodoncia y manejo provisional ¡Inscríbete!
Ponente invitado
Destacado y especializado en los campos de la implantología digital
Lorenzo Tavelli
Lorenzo Tavelli, DDS, MS, PhD, es periodoncista, investigador clínico y profesor a tiempo parcial en la Escuela de Medicina Dental de Harvard. Obtuvo su título en Odontología en la Universidad de Milán y completó una residencia de tres años en Periodoncia junto con una Maestría en Ciencias en la Universidad de Michigan. Es Diplomado del American Board of Periodontology y anteriormente se desempeñó como Director del Programa de Posgrado en Periodoncia en la Escuela de Medicina Dental de Harvard.
Las actividades clínicas y de investigación del Dr. Tavelli se centran en procedimientos de injerto de tejidos blandos microquirúrgicos y mínimamente invasivos alrededor de dientes e implantes dentales. Su trabajo se ha enfocado en la integración de la ecografía de alta frecuencia y los marcadores biológicos de la cicatrización de heridas para evaluar la perfusión de los tejidos blandos y optimizar los resultados quirúrgicos. Ofrece conferencias a nivel internacional y es autor de más de 150 publicaciones científicas revisadas por pares. Actualmente se desempeña como Editor Asociado de la revista Clinical Implant Dentistry and Related Research.
Sus contribuciones a la investigación en periodoncia e implantología han sido reconocidas con varios premios internacionales, entre ellos el Premio de Investigación ITI André Schroeder 2024, el Premio Earl Robinson en Regeneración de la American Academy of Periodontology 2023, la Beca de Investigación Clínica Nevins de la AAP Foundation 2022, el Premio Goldman de Investigación Clínica de la Sociedad Italiana de Periodoncia 2021 y el Premio de Investigación Balint Orban de la AAP 2020.
¿Qué te ofrecemos?
Cuando finalizes el Curso avanzado de cirugía mucogingival sobre dientes e implantes conseguirás…
Diagnóstico
Diagnosticar y planificar casos con déficits de los tejidos blandos de una manera adecuada.
Conocimiento
Conocer técnicas actuales de implantología y aprender los pasos para poder aplicarlas de una manera predecible.
Análisis
Elegir la técnica adecuada en función del defecto apoyándonos en la evidencia científica.
Práctica
Conseguir un adecuado manejo de los tejidos blandos tanto en implantología como en cirugía mucogingival.
Actualización
Conocer el enfoque actual en el tratamiento quirúrgico de áreas estéticas en implantología y periodoncia.
Aplicaciones
Confeccionar la prótesis provisional para conseguir una estética adecuada.
Post-operatorio
Manejar de las complicaciones intraoperatorias y postquirúrgicas.
Resultado
Garantizar la satisfacción del paciente en todo momento para asegurar una buena experiencia y servicio.
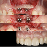
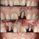
Casos clínicos



Programación del curso
Conoce cómo se estructura el Curso avanzado de cirugía mucogingival sobre dientes e implantes y manejo provisional en CCR,
¿Empezamos?
DÍA 1. CIRUGÍA MUCOGINGIVAL SOBRE DIENTES
- Teoría
CIRUGÍA MUCOGINGIVAL SOBRE DIENTES
TCAF
The novel Tunneled Coronally Advanced Flap (TCAF)
¿Cúando túnel, cuándo CAF, cuándo TCAF?
¿Cuándo usar injertos autólogos y sustitutos?
DÍA 2. CIRUGÍA MUCOGINGIVAL SOBRE IMPLANTES
Teoría
CIRUGÍA MUCOGINGIVAL SOBRE IMPLANTES
- Obtención de injertos autólogos
-
The novel Tunneled Coronally Advanced Flap (TCAF)






Confía en quiénes se han formado con nosotros
Ellos son la mejor prueba
¿Te interesa nuestro programa?
No lo dudes e inscríbete ya en nuestro Curso avanzado de cirugía mucogingival sobre dientes e implantes.
¡Las plazas son limitadas!
